设为首页收藏本站

弧论坛

 找回密码
 立即注册
搜索
热搜: 活动 交友 discuz
查看: 2706|回复: 0
打印 上一主题 下一主题

高又帅的长腿小哥哥,有可能是XXY,这种病其实并不罕见

[复制链接]

5917

主题

6625

帖子

7185

积分

坛主

Rank: 10Rank: 10Rank: 10

积分
7185
跳转到指定楼层
楼主
发表于 2022-5-14 22:30 | 只看该作者 回帖奖励 |倒序浏览 |阅读模式
高又帅的长腿小哥哥,有可能是XXY,这种病其实并不罕见[color=rgba(0, 0, 0, 0.3)]

[color=rgba(0, 0, 0, 0.3)]万物 环球科学
[color=rgba(0, 0, 0, 0.3)]2022-05-14 06:23
[color=rgba(0, 0, 0, 0.3)]


文章来源 | 把科学带回家(id:steamforkids)
撰文 | 七君


很多人都想拥有一双“大长腿”,然而有时候,在医生眼中,完美的身材和可爱的脸庞却和一种常见但常常被忽视的染色体异常联系在了一起。

这种常常造成不育症的染色体异常叫做克氏综合征(Klinefelter syndrome),而这里的染色体异常是指男生除了XY染色体以外,还有一条或更多额外的X染色体

这种病的发现和研究史还不到一百年。1942年,美国内分泌学家哈利·克林菲尔德(Harry Klinefelter)发现了克氏综合征,并且在十多年后找到了它的病因——多出来的X染色体。


                               
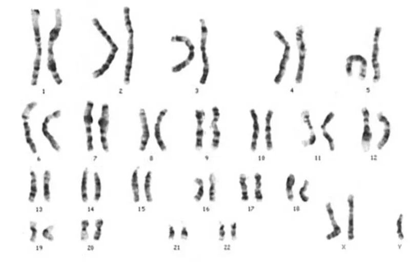
登录/注册后可看大图
克氏综合征患者多了一条X染色体(右下)。图片来源:wikimedia

多一条X染色体会让男孩子怎样呢?

简单来说,克氏综合征除了让患者长相更偏幼态、容易不育、容易有阅读障碍等学习障碍以外,就没有什么坏处了。


                               
登录/注册后可看大图
克氏综合征患者的典型身体特征,包括没有男性前额秃顶、胡须较少、长手长脚等。图片来源:wikipedia

克氏综合征的症状主要在青春期出现。由于多了一条X染色体,患者的睾酮(一种雄性激素)水平低于普通男孩,这让他们不容易长出肌肉和体毛,腿的比例特别长,面部也有幼态特征。

由于多余的X染色体,克氏综合征男孩的胸部甚至会像女孩那样发育,因此患乳腺癌的可能性比普通男性高一点(但还是低于女性)。


                               
登录/注册后可看大图
克氏综合征患者的胸部常常比普通男性要大。图片来源:wikipedia

多余的X染色体也会让克氏综合征患者出现一些特殊的身体构造,比如他们的小拇指通常是内弯的,也容易患上牛牙病(牙髓腔异常)。


                               
登录/注册后可看大图
牛牙病(右边三个)和正常牙齿(左一)牙髓腔的对比。图片来源:wikipedia

多余的X染色体也会影响大脑和心态。从认知上来说,克氏综合征患者的语言能力更弱、更可能出现学习障碍,也更容易罹患焦虑症、抑郁症等精神疾病。不过,他们的综合智商和常人无异

那么,克氏综合征会不会遗传给下一代呢?

克氏综合征并没有遗传性,也就是说不会遗传给下一代,因为它是减数分裂时的随机错误导致的。

我们从中学生物课上学到的知识是,卵子和精子携带的遗传物质只有本体的一半,这是因为它们经历了减数分裂。

但是,减数分裂时也会发生错误,比如母亲的两条X染色体没有好好“劈叉”,结果都填充到了她的某个卵子里。当然了,父亲的XY染色体也可能出现这样的错误。


                               
登录/注册后可看大图
由于父亲(蓝色)的精子在减数分裂时没有把X和Y染色体分开,致使孩子(紫色)成为了XXY。图片来源:wikipedia

因此,一部分克氏综合征来自母亲的卵子异常,另一部分是因为父亲的精子异常。当前研究发现,高龄产妇是克氏综合征的风险因子,克氏综合征患者多出来的那条X染色体也大都来自母亲。

当然了,受到多余的X染色体影响最大的是繁殖能力和配套硬件。

克氏综合征男孩的生殖器比普通男孩要短小精悍一点,不过,克氏综合征并不会影响他们的寿命。

由于有奇数条染色体,克氏综合征面临着生殖壁垒:生殖细胞如何减数分裂呢?奇数除以二不是整数啊。


                               
登录/注册后可看大图
减数分裂

这就是为什么克氏综合征最大的坏处就是可能造成不育。不过,并不是所有克氏综合征患者都会不育,约一半克氏综合征患者还是能产生精子的。

实际上,克氏综合征是最常见的染色体异常。《默沙东诊疗手册大众版》介绍,每500名新生男婴中就有1人患有克氏综合征。也就是说,一个每年招5000名新生(假设男女各一半)的大学通常年年会迎来5个克氏综合征患者。

然而,许多人并不知道自己患有克氏综合征。根据2013年发表在 Journal of Clinical Endocrinology and Metabolism 上的一项综述研究,四分之一的克氏综合征患者终身都不知道自己染色体异常

克氏综合征有着这样高的发病率,在日常生活中不接触到它也是不可能的。实际上,许多名人就是克氏综合征患者,你在里面可以同时看到“男性”和“女性”。

长久以来,不少学者怀疑美国开国元勋乔治·华盛顿可能就是克氏综合征患者,因为他的妻子在和他结婚前曾经生育,但在和他结合的40年婚姻里却没有诞下任何子女。


                               
登录/注册后可看大图
美国开国元勋乔治·华盛顿。图片来源:wikipedia

作为证据,除了不育,华盛顿还有其他符合克氏综合征的特征,比如身材修长(他有1.9米高),还有克氏综合征患者常有的牛牙病(牙髓腔异常)。但是,华盛顿身上也有不符合克氏综合征的特征,比如他的言语能力很强、善于辞令、肌肉发达爱运动。

美国纽瓦克贝丝以色列医疗中心的医学院院长 Robert Lahita 坚定地认为,华盛顿就是克氏综合征患者。当然也有人提出了其他可能。2004年,华盛顿大学医学院的研究者 John K. Amory 指出,华盛顿曾患过的肺结核也可能是造成他不育的一大原因。

在当代,出生于1954年的英国超模 Caroline Cossey 就是一位本人确认的克氏综合征患者。她曾在1981年出演007系列电影之《007之最高机密》(For Your Eyes Only)。她在出生时生理性别是男孩,但是后来在17岁被确诊为克氏综合征,并随后接受了激素治疗。


                               
登录/注册后可看大图

《007之最高机密》上映后,媒体对 Caroline Cossey 曾是男性一事的报道。图片来源:The University of Ulster Trans-Gender Archives/Richard Ekins collection at the Transgender Archives, University of Victoria

南非超模 Lauren Foster 在出生时被认为是男性,但在克氏综合征确诊后变性成为女性。她曾想以女性身份参加南非小姐选美,但是被组委会拒绝了。


                               
登录/注册后可看大图
Lauren Foster。图片来源:Greg Gorman

曾经因为性别界定问题名噪一时的奥林匹克金牌得主、南非运动员 Caster Semenya 也是克氏综合征患者。她拥有男性的面庞和女性的胸部,并以女性的身份参赛。当然了,她的特殊身份也引起了巨大的争议。


                               
登录/注册后可看大图
Caster Semenya。图片来源:wikimedia

得益于现代遗传学技术,研究者们翻了古人的旧账,发现许多历史上的“男性”或“女性”其实都是克氏综合征患者

比如,著名的古埃及法老图坦卡蒙就是一例。1973年发表在《柳叶刀》上的一项研究指出,图坦卡蒙就患有克氏综合征,“他”有着相对男性来说过于膨大的胸部。


                               
登录/注册后可看大图
图坦卡蒙复原图。图片来源:BBC One

2021年发表在《欧洲考古学杂志》(European Journal of Archaeology)上的一项研究对芬兰的一个千年古代女战士的DNA进行了分析,发现以高规格下葬的TA其实也是一位克氏综合征患者。


                               
登录/注册后可看大图
一千年前的芬兰“女战士”实际上是XXY。图片来源:doi.org/10.1017/eaa.2021.30

实际上你在生活中还可以看到自带XXY染色体皮肤的动物。因为不仅是人类,老鼠、猫、马、羊都可能出现XXY个体。

比如,小鼠就可能出现XXY,因此大量克氏综合征研究是用啮齿动物做的。

如果你遇到三花或玳瑁的公猫,它铁定也是XXY的。


                               
登录/注册后可看大图
三花猫大多数是母的,极少数是公猫,这些公猫都是XXY,而且大多不育。

在哺乳动物中,在雌性的体细胞中,两条X染色体里只有一条被表达(也就是被拿来用),这叫做X染色体去激活,另外一条被封印成为巴氏小体(不用干活确实挺巴适的)。

猫的花色是X染色体表达的,一个基因指定橙色或黑色,另外一个基因指定白斑。由于正常的公猫只有一条X,它不会被封印,因此正常公猫要么变成大橘(全帝王黄或黄白),要么黑白配或全黑。


                               
登录/注册后可看大图

而母猫的两条X染色体被随机关掉了一条,如果母猫的一条X上面的基因版本是橙色,另外一条是表达黑色的等位基因,那么就会出现不均匀的皮毛配色,也就是三花或玳瑁的花色。

这样一来你就知道三花/玳瑁公猫必须是XXY的原理了。XXY公猫有两条X染色体,在X染色体去激活时,会遇到普通三色母猫一样的情况。


                               
登录/注册后可看大图
玳瑁猫。图片来源:wikipedia

当然了,一些哺乳动物还会出现3条甚至更多X染色体的情况,只不过这些情况比较罕见。

总而言之,医学研究让我们知道,性别的世界不是非黑即白的,而是五彩斑斓的。

XXY:是你说的生男生女一样好。
封面来源:wikimedia
参考资料:https://docs.qq.com/doc/DVFFlYk96bVVhVXJm


大道至简 万物于弧
*滑动验证:
您需要登录后才可以回帖 登录 | 立即注册

本版积分规则

手机版|Archiver|小黑屋|国际弧学研究会    

GMT-7, 2025-10-30 07:39 , Processed in 0.602108 second(s), 22 queries .

Powered by Discuz! X3.1

© 2001-2013 Comsenz Inc.

快速回复 返回顶部 返回列表